哈希牙科诊所 | Hachi Dental Clinic - 美丽自信的微笑,源自高品质陶瓷牙贴面

“哈希牙科诊所 | Hachi Dental Clinic - 提供专业的牙科美容服务,由朱拉隆功医院专业医生团队亲自操作,通过高品质的陶瓷贴面,为您量身打造个性化的新笑容,让您对自然之美充满自信。”

S 2539678
S 21143570

WhatApp

微信

1
2 (1)

我们对牙齿问题非常关注

关于 哈希牙科诊所

我们对牙齿健康充满热忱,哈希牙科诊所以严格遵循2022年泰国牙科安全指南(Thailand Dental Safety GuideLine 2022),致力于为每位患者提供专业、放心的服务。我们配备先进的牙科设备,拥有充满活力的年轻医生团队,秉持着热忱的服务精神,确保每一项治疗都符合国际标准,并以亲民的价格为每个人提供优质服务。我们注重根据个人的面部特征和微笑特点,量身定制美丽的笑容,同时关注牙齿的健康和美观,使您的笑容更加完美,牙齿更加坚固。

我们的牙医团队和工作人员将为您提供全面的口腔健康建议,并竭诚为每一位顾客提供服务。诊所采用现代化风格,宽敞舒适的环境,避免拥挤,保持清洁。我们使用安全无菌的设备和高品质的牙科材料,确保每一位到访的顾客都能根据专业标准获得最佳的治疗服务。

良好的口腔健康、洁白的牙齿和强健的牙龈是美丽笑容和良好个人魅力的起点。为了让每个人都拥有明亮的笑容和自信,我们的牙科团队非常乐意为每位顾客提供贴心的护理,并致力于将我们的诊所打造成深受患者喜爱的高质量诊所。

64b6fc6c0fb93
ปกพาดหัววีเนียร์

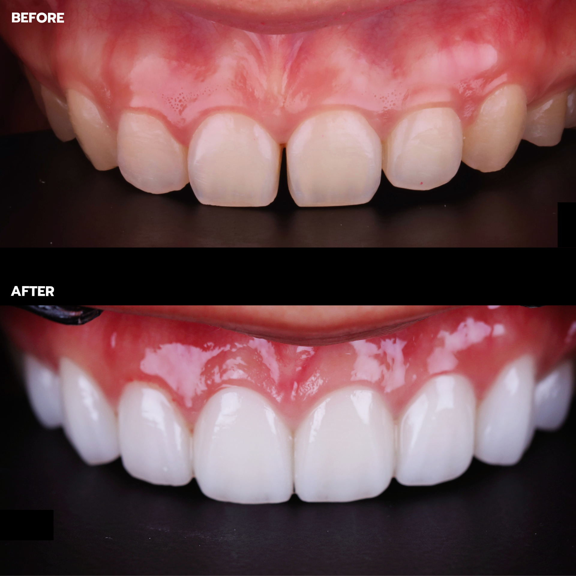
陶瓷牙贴面

陶瓷贴面不仅能改善牙齿的美观,使其更加整齐,还能修正牙齿排列、闭合牙缝,并能有效保护牙齿表面,减少未来可能发生的损害。

如果您想让牙齿在长期内恢复亮白、光滑的外观,陶瓷贴面是目前最受欢迎的选择之一。它能使牙齿颜色接近自然牙齿,具备强度和耐久性,表面光滑且不受食物影响,

能保持长期的美观效果。

哪种牙齿才是最适合您

牙齿形状 Enhanced Style

牙齿边缘锐利且明显,使牙齿更加突出,牙齿颜色洁白明亮,笑容看起来更加灿烂迷人,通常用于娱乐圈和摄影中。

牙齿形状 Natural Style

让笑容看起来自然,不显得过于突兀或引人注目。牙齿的边缘略微弯曲,每颗牙齿的大小和形状略有不同,使得牙齿看起来更自然。

牙齿形状 Youthful Style

牙齿边缘略微弯曲,营造出清新亮丽的外观,牙齿形状简洁自然,增强了笑容的年轻感和活力。

牙齿形状 Hollywood Style

牙齿边缘整齐锋利,使牙齿显得清晰而突出。每颗牙齿长度和形状均匀,令笑容显得完美无缺。

常用于娱乐圈和摄影领域,因为这样的牙齿美观大方,笑容更显饱满。

牙齿形状 Oval Style

牙齿形状柔和自然,整体不过于突出,

非常适合希望进行瓷贴面修复但仍想保留自身个性特点的患者。

牙贴面材料有哪些种类?选择哪一种更好?

用于制作牙贴面的材料主要有两种类型

1. 复合树脂 (Composite)

这种材料具有突出的灵活性和快速设计的特点,适合有牙齿缺损、牙齿小、牙齿缺角、牙缝小、牙齿颜色不均等问题以及预算有限的患者使用。

2. 陶瓷牙贴面 (Porcelain)

这种材料更坚固耐用,同时美观程度接近天然牙,非常适合需要长时间保持美观的患者。由于瓷贴面的强度更高且耐污性更强,它还能很好地解决牙齿颜色不均或牙齿形态异常的问题。

牙医团队

我们的团队将以专业与细心的态度为每一位患者提供服务,由各领域的牙科专家组成的团队负责您的口腔健康。

如果您有其他健康问题,请在治疗前告知我们的工作人员或牙医。

如对您的治疗有任何疑问,您有权根据患者权益声明提出咨询,我们的团队将乐意为您解答一切疑惑。团队

各领域的专科牙医团队:

ราคาหมอป่อง

微笑由庞博士设计

像网红、明星的自信美丽笑容

每颗牙齿起价14,000泰铢

8颗套餐价格109,000泰铢

10颗套餐价格119,000泰铢

3D牙齿扫描、X光检查、数字化临时贴面设计

ราคาหมอคุนนะ

昆博士设计的微笑

自信的微笑,拥有最符合您心意的笑容

每颗牙齿起价12,000泰铢

8颗套餐价格89,000泰铢

10颗套餐价格99,000泰铢

3D牙齿扫描、X光检查、数字化临时贴面设计

牙贴面制作步骤 Start My VENEER

第一次预约:医生咨询

与医生讨论您的问题,检查口腔状况,同时进行X光和3D口腔扫描。

第二次预约:牙齿打磨

打磨牙齿表面,为新的笑容腾出空间。在等待正式贴面期间,将临时贴面安装在牙齿上。

第三次预约:安装正式贴面 (从咨询医生之日算起需等待7-14天)

调整贴面的形状,使其与患者的面部和理想笑容最契合,并在安装正式贴面后进行效果跟踪。

第四次预约:复查(根据患者方便安排)

完成陶瓷贴面后,3-4周,如果患者方便可以来进行复查。如果没有异常情况,将安排每3个月、 6个月和1年进行一次复查。

回答所有问题和疑虑 FAQs of VENEER

问: 可以只做上排牙齿吗?可以先做上排再做下排吗?可以同时做上下排吗?

答: 可以只做上排牙齿,如果患者只露出上排牙齿。可以先做上排,之后再做下排,也可以一次性同时做上下排牙齿。

答: 可以做,主要看牙齿的状况,而不是是否做过牙齿矫正。如果不确定,可以将照片发给医生,让医生帮忙查看。

答: 最快的情况是3-5天,但需要提前预约并排好时间。通常情况下,瓷贴面正式安装需要7-14天。如果真的很急,需要与管理员沟通安排时间。

答: 做完牙贴面后,可能会有轻微的牙齿敏感感,但会慢慢消失。有些患者可能完全没有任何不适。最重要的是,不会有肿胀,并且您的笑容会明显变得更加美丽。